Posted by denitzablagev on October 27, 2014 · 2 Comments
“If I get a call about smallpox from the ER I’m not coming in,” an Infectious Disease doctor said to a colleague in the hospital where I was working. It was the early days of 9/11 and anything seemed possible. “Are you all OK with providing care for Ebola patients?” our section chief asked. Our ICU is the … Continue reading →
Filed under 9-11 New York, Denial, doctor, medical decisions · Tagged with 9/11, AIDS, Doctors, Ebola, ethics, flu, H1N1, HIV, ICU, job, pulmonary, showing up, work, WTC
Posted by denitzablagev on May 5, 2013 · 6 Comments
Need Oxygen to Smoke? my editorial in the Salt Lake Tribune on the difficulty of tobacco cessation. What do you think about the policy at the Cleveland Clinic and other large employers that refuse to hire smokers? Below are my links that were embedded in editorial, but for some reason SLC trib removes them. …Even … Continue reading →
Filed under doctor, my tirades, Salt Lake City Tribune · Tagged with choice, emphysema, ethics, free will, health, health insurance cost, healthcare, how to quit smoking, lung cancer, medicine, obesity, personal responsibility, public health, quit smoking, salt lake tribune, smoking, tobacco, tobacco cessation, utah
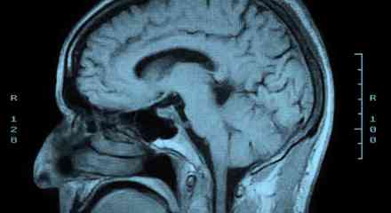
Posted by denitzablagev on March 10, 2013 · 2 Comments
When I was in Boston, I had a patient with a brain tumor and two adult sons. She had a malignant, progressive brain tumor and had been unresponsive for months. Her prognosis was poor. One son, I’ll call him Peter, thought she would have wanted to be DNR/DNI: if her heart stops, if her breathing … Continue reading →
Posted by denitzablagev on February 23, 2013 · 9 Comments
It is another night on call in the intensive care unit. The night shift starts with what we call a sign-out where the physicians who have been taking care of these critically ill patients during the day tell me a bit about each of them as well as any issues that would be useful to … Continue reading →